Pierwsze dni
>
Edukacja>
Zdrowie wcześniaka>
W kilku prostych słowach o krwawieniach śródczaszkowych u noworodków – przyczyny, objawy, leczenie, odległe skutki.Zdrowie wcześniaka
W kilku prostych słowach o krwawieniach śródczaszkowych u noworodków – przyczyny, objawy, leczenie, odległe skutki.
Przeczytasz w ciągu:
4:44 min.
Udostępnij:
Jednym z najpoważniejszych powikłań przyjścia na świat noworodków urodzonych przedwcześnie jest uszkodzenie ośrodkowego układu nerwowego (OUN) pod postacią krwawień śródczaszkowych. Rozwój neonatologii pozwolił na zmniejszenie częstości krwawień, jednak nie jesteśmy w stanie całkowicie ich wyeliminować zwłaszcza w grupie noworodków z ekstremalnie małą urodzeniową masą ciała tzn. ważących 500-700 g . W tej grupie częstość krwawień wynosi 45%. U grupie większych wcześniaków waha się w granicach około 20 %. U noworodków donoszonych lub urodzonych blisko terminu porodu zdarzają się rzadko.
Przyczyny krwawień śródczaszkowych.
Krwawienia u noworodków urodzonych przedwcześnie jest konsekwencją ich niedojrzałości w tym układu nerwowego, układu krążenia, niedojrzałości naczyń krwionośnych, mechanizmów regulujących przepływ krwi przez krążenie mózgowe. Wszystkie krwawienia do- i okołokomorowe rozpoczynają się w jednym miejscu. Jest to skupisko niedojrzałych naczyń krwionośnych nazywane macierzą przykomorową, która zlokalizowana jest w okolicy komór bocznych mózgu. Zanika po 34 tygodniu ciąży i u noworodków donoszonych nie jest obecna. Stąd, poprzez przerwanie wyściółki komór, krew może przedostać się do ich światła, a w mechanizmie zawału żylnego krew wynaczynić się do również do miąższu mózgu.
Czynniki ryzyka krwawień śródmózgowych
Do czynników ryzyka wystąpienia krwawień śródmózgowych możemy zaliczyć te związane z okresem prenatalnym: czyli zagrożenie porodem przedwczesnym, a zwłaszcza wtedy, gdy matka nie dostanie w tej sytuacji glikokortykosteroidów przed porodem, które miedzy innymi przyspieszają dojrzewanie mózgu płodu. Także zapalenia błon płodowych, zakażenia układu moczowego, infekcje w obrębie jamy ustnej u matki – te czynniki mogą być przyczyną porodu przedwczesnego. Ważne jest aby taki poród odbył się w ośrodku, który zajmuje się opieką nad noworodkiem urodzonym przedwcześnie czyli o wyższym stopniu referencyjności (II i III stopień) gdyż transport noworodka po urodzeniu ze skrajnie mała masą urodzeniową do takiego szpitala zwiększa ryzyko nie tylko krwawienia śródczaszkowego ale i zwiększa śmiertelność noworodków z tej grupy.
Do czynników ryzyka związanych z okresem okołoporodowym i po urodzeniu możemy zaliczyć: niedotlenienie okołoporodowe, poród urazowy, zespół zaburzeń oddychania, drożny przewód tętniczy, odmę opłucnową, niedobór Wit. K, malformacje naczyniowe, zakażenia, zaburzenia krzepnięcia.
Klasyfikacja krwawień
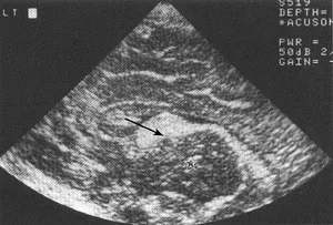
Jeżeli krwawienie zlokalizowane jest tylko w macierzy rozrodczej to według obowiązującej klasyfikacji w modyfikacji Papilla, jest to krwawienie I stopnia. (ryc. 1). Gdy krew przedostanie się do światła komór bocznych mózgu, w zależności od ich wypełnienia, mówimy o krwawieniu II stopnia (10-20% objętości komór) (ryc. 2) lub krwawieniu III stopnia (powyżej 50% objętości komór bocznych). (ryc.3). Najcięższą postacią krwawienia do OUN jest krwawienie do okołokomorowego miąższu mózgu i nazywane jest zawałem żylnym krwotocznym przykomorowym.
Krwawienia śródczaszkowe mogą dotyczyć także innych okolic mózgu. Mogą być zlokalizowane w obrębie móżdżku, wzgórz, przestrzeni podpajęczynówkowej czy podtwardówkowej. Zdarzają się dużo rzadziej niż krwawienia dokomorowe.


Ryc .2 Krwawienie II stopnia

Ryc. 3 Krwawienie III stopnia
Ryc. 4 Zawał żylny przykomorowy
Objawy krwawienia śródczaszkowego
Większość krwawień (95% ) dokonuje się w ciągu pierwszych 3 dni życia. Im bardziej niedojrzały noworodek, im cięższy jest jego stan, tym krwawienia pojawiają się szybciej i są bardziej rozległe. Jest to okres, kiedy dochodzi do stabilizacji oddechowo-krązeniowej, który nierzadko jest dla niego bardzo trudny. W 20-40% przypadków dojść może do rozszerzenia krwawienia. Najczęściej ma to miejsce pod koniec pierwszego tygodnia życia.
W większości przypadków krwawienia I i II stopnia nie stwierdza się ewidentnych objawów klinicznych. W krwawieniach bardziej rozległych możemy obserwować łagodne zaburzenia neurologiczne pod postacią zaburzeń napięcia mięśniowego, stopnia przytomności, zmniejszonej ruchliwości spontanicznej, szybkich ruchów gałek ocznych a także zaburzeń oddychania. W krwawieniach bardzo rozległych może dojść do gwałtownego pogorszenia stanu dziecka z wystąpieniem uogólnionych drgawek, śpiączki. Taki stan występuje u wcześniaków bardzo rzadko.
Jak rozpoznać krwawienie śródczaszkowe
Metodą, która służy do rozpoznania krwawień w obrębie OUN jest ultrasonografia przezciemiączkowa (USG). Jest to metoda nieinwazyjna, możemy ją zastosować przy łóżku pacjenta bez konieczności jego transportu, specjalnego przygotowania i w dowolnym momencie. Można to badanie powtarzać w razie konieczności i potrzeb. Jest badaniem bezpiecznym. Wykorzystuje się do tego tak zwane okienka akustyczne czyli miejsca, przez które fale ultradźwiękowe bez większych przeszkód docierają do mózgu „skanując” go a obraz badający widzi na monitorze aparatu. Są to miejsca na czaszce zwane ciemiączkami (przednie i tylne) ale można wykorzystać do tego okolice skroni czy potylicy, gdzie kości czaszki są bardziej przezierne. Przy pomocy USG możemy ocenić stopień krwawienia, jego ewolucję oraz konsekwencje jakie za sobą może nieść czyli powikłania.
W diagnostyce obrazowej wykorzystywane są także rezonans magnetyczny (MRI) oraz tomografia komputerowa (bardzo rzadko). Wskazania do wykonania tych badań są ściśle określone i zazwyczaj decydujemy się na ten rodzaj diagnostyki OUN gdy obraz USG nasuwa trudności rozpoznawcze, w USG brak uchwytnych zmian a u dziecko obserwujemy objawy neurologiczne. Także wtedy gdy potrzebna jest kwalifikacja do dalszego leczenia.
Jak leczy się krwawienia śródczaszkowe
Następstwa krwawień są zależne od ich ciężkości. Może to być poszerzenie układu komorowego, wodogłowie pokrwotoczne, nieprawidłowy rozwój w przyszłości a nawet zgon. Krwawienia I i II stopnia zazwyczaj wchłaniają się samoistnie. Nawet jeżeli początkowo komory boczne poszerzą się w jakimś stopniu, to w miarę upływu czasu wynaczyniona krew ulegnie całkowitemu wchłonięciu i wymiar komór bocznych znormalizuje się. W bardziej rozległym krwawieniu III stopnia i w zawale żylnym krwotocznym o niewielki zasięgu zawsze dochodzi do poszerzenia komór, które po pewnym czasie stabilizuje się. W tych przypadkach leczenie jest jedynie objawowe.
Czasami jednak masywne krwawienie III stopnia i rozległy zawał żylny krwotoczny powoduje znacznego stopnia poszerzenie układu komorowego dotyczącego nie tylko komór bocznych ale i komory III i IV, które postępuje aż do stadium wodogłowia czyli pokrwotocznego poszerzenia komór. Gromadzi się wtedy w świetle komór płyn mózgowo – rdzeniowy. Taki stan zawsze wymaga leczenia jeżeli wchłanianie lub odpływ płynu, jest zaburzone. Leczenie polega na zmniejszaniu ilości płynu mózgowo-rdzeniowego poprzez regularne nakłucia lędźwiowe połączone z jego upustem lub założenie zastawki Rickhama (podskórny zbiornik mający łączność z układem komorowym) . Celem takiego postępowania jest ochrona mózgu noworodka, gdyż narastające ciśnienie wewnątrzczaszkowe, może spowodować wtórne jego uszkodzenie. Czasami można w ten sposób zapobiec implantacji zastawki komorowo-otrzewnowej. Jeżeli jednak proces poszerzania się układu komorowego postępuje, niezbędna jest interwencja chirurgiczna i wszczepienie takiej zastawki staje się niezbędne. Odbarcza ona nadmiar płynu mózgowo-rdzeniowego, gromadzącego się w komorach mózgu.
Odległe skutki krwawień śródmiąższowych
Większość krwawień wewnątrzczaszkowych niewielkiego stopnia nie niesie za sobą konsekwencji. Jednak istnieją doniesienia, ze noworodki z urodzeniową masą ciała poniżej 1000 g mogą mieć niższy średni wskaźnik rozwoju umysłowego w porównaniu z dziećmi przedwcześnie urodzonymi bez krwawień. Natomiast rozwój ruchowy w późniejszych latach (6 i 9 rok życia dziecka) nie wykazuje różnic między tymi grupami. Łagodne dysfunkcje psychoruchowe związane z krwawieniem I i II stopnia mogą ustąpić w czasie dalszego rozwoju dziecka.
Krwawienia większego stopnia i te z zajęciem miąższu mózgu mogą doprowadzić do śmierci dziecka. Ryzyko wczesnego zgonu noworodków zależy od rozległości krwawienia i niedojrzałości dziecka. Największe bo aż 40 % związane jest z najcięższą postacią krwawienia czyli zawałem żylnym krwotocznym. W przypadku krwawienia III stopnia ryzyko zgonu oceniono na ok.8%.
Wodogłowie pokrwotoczne i zawał żylny krwotoczny przykomorowy są jednymi z najczęstszych przyczyn trwałego uszkodzenia mózgu nazywane mózgowym porażeniem dziecięcym. Współistnienie tych patologii pogarsza rokowanie. Ma to wpływ na iloraz inteligencji i zdolności manipulacyjne. Zdecydowanie bardziej upośledzona jest funkcja widzenia (ścieńczenie płata potylicznego, w którym znajdują się obszary odpowiedzialne za widzenie). Rozwój chłopców jest znacznie gorszy niż dziewczynek. A rozwój ruchowy koreluje z rozległością uszkodzenia miąższu mózgu. Uważa się jednak, ze pewna grupa dzieci (około 1/4), które przebył krwawienie śródmiąższowe jednostronne mają szanse na prawidłowy rozwój.
W związku z powyższym noworodki urodzone przedwcześnie wymagają systematycznej kontroli specjalistycznej przez kila pierwszych lat życia, która pozwala oceniać rozwój ruchowy i intelektualny dziecka. A poprzez powtarzanie badań ultrasonograficznych przezciemiączkowych dojrzewanie mózgu.
Ze względu na bardzo poważne konsekwencje krwawień śródmózgowych cały czas nie ustają wysiłki wielu naukowców w celu ustalenia takiego postępowania w okresie okołoporodowym i okresie noworodkowym, które pozwoliłyby wyeliminować te czynniki, które doprowadzają do nieodwracalnych skutków rozległego krwawienia.
Artykuł pochodzi z 6. numeru gazetki „Mam(y) wcześniaka”
Zobacz również
13.12.2023
Żywienie wcześniaków
3:21 min.
13.12.2023
Jakie mogą być konsekwencje dysplazji oskrzelowo-płucnej u wcześniaków?
1:40 min.
13.12.2023
Jakich konsultacji specjalistycznych będzie wymagał wcześniak po wypisie ze szpitala?
1:50 min.
13.12.2023
Jak leczy się przetrwały przewód tętniczy?
1:08 min.